Skip to content Skip to sidebar Skip to footer

What Does Numb Chin Syndrome Feel Like

Numb Chin Syndrome A Signal Of Underlying Concern Journal Of Dental Hygiene

Numb Chin Syndrome A Signal Of Underlying Concern Journal Of Dental Hygiene

What does numb chin syndrome feel like. Firstly you must understand that Depersonalization is a very common reaction to stressful events be it trauma a car accident or as is very common. Sometimes it can feel like a jolt or electric shock. Then after taking it for maybe a month or so I decided to see what could be done about it.

Recognising NCS clinically is important as this may be a subtle sign of occult malignancy progression or relapses. This feeling can be transient and temporary meaning that it comes and goes or it can set in and stick around. And its only one side.

For others its more of a tingling where the person can feel something there in that area of the body but it doesnt feel like something normally does to the touch. Nerve pain often affects all people differently. Other signs may include a lump or bump under the skin in areas such as the neck armpit or groin.

These lumps can be red pink or blue. My chin and half lip has been numb for last two weeks I was diagnosed with mbc with bone Mets in 2017. The feeling of pins and needles numbness or tingling in your tongue is also called paresthesia.

Stroke can result in facial numbness. By the end of the day the area under my chin felt more numb towards the front and was more tender towards the back. Numbness is confined to chin region.

Numb chin syndrome NCS is a neurological condition that causes numbness in the mental nerve distribution also known as mental neuropathy. These effects resolve as the. If this happens it can cause itching pain numbness tingling or a feeling like there are ants crawling under the skin.

Some types of skin cancer spread along the nerves. Numbness can be described as a loss of feeling.

Numb Chin Syndrome A Signal Of Underlying Concern Journal Of Dental Hygiene

Numb Chin Syndrome A Signal Of Underlying Concern Journal Of Dental Hygiene

Numb Chin Syndrome A Harbinger Of Tumor Progression Or Relapse The American Journal Of Emergency Medicine

Numb Chin Syndrome A Harbinger Of Tumor Progression Or Relapse The American Journal Of Emergency Medicine

Numb Chin Numb Chin Syndrome Other Causes Warning Signs

Numb Chin Numb Chin Syndrome Other Causes Warning Signs

Numb Chin Syndrome Page 2 Anxiety Disorders Forums Patient

Numb Chin Syndrome Page 2 Anxiety Disorders Forums Patient

Numb Chin 9 Causes

Numb Chin 9 Causes

Numb Chin Syndrome A Signal Of Underlying Concern Journal Of Dental Hygiene

Numb Chin Syndrome A Signal Of Underlying Concern Journal Of Dental Hygiene

Numb Chin With Mandibular Pain Or Masticatory Weakness As Indicator For Systemic Malignancy A Case Series Study Sciencedirect

Numb Chin With Mandibular Pain Or Masticatory Weakness As Indicator For Systemic Malignancy A Case Series Study Sciencedirect

Young Man With A Numb Chin Consultant360

Young Man With A Numb Chin Consultant360

Numb Chin Syndrome With Sickle Cell Disease A Report Of Two Cases Medcrave Online

Numb Chin Syndrome With Sickle Cell Disease A Report Of Two Cases Medcrave Online

Frontiers Numb Chin Syndrome Leading To A Diagnosis Of Salivary Ductal Adenocarcinoma A Case Report And Review Of The Literature Neurology

Frontiers Numb Chin Syndrome Leading To A Diagnosis Of Salivary Ductal Adenocarcinoma A Case Report And Review Of The Literature Neurology

Numb Chin Syndrome A Signal Of Underlying Concern American Dental Hygienists Association March 2015 American Dental Hygienists Association Cdeworld

Numb Chin Syndrome A Signal Of Underlying Concern American Dental Hygienists Association March 2015 American Dental Hygienists Association Cdeworld

Pdf Numb Chin Syndrome A Case Report And Review Of The Literature Semantic Scholar

Pdf Numb Chin Syndrome A Case Report And Review Of The Literature Semantic Scholar

Numb Chin Numb Chin Syndrome Other Causes Warning Signs

Numb Chin Numb Chin Syndrome Other Causes Warning Signs

Numb Chin 9 Causes

Numb Chin 9 Causes

Numb Chin With Mandibular Pain Or Masticatory Weakness As Indicator For Systemic Malignancy A Case Series Study Sciencedirect

Numb Chin With Mandibular Pain Or Masticatory Weakness As Indicator For Systemic Malignancy A Case Series Study Sciencedirect

What Is Numb Chin Syndrome

What Is Numb Chin Syndrome

Details Of The 10 Patients With Numb Chin Syndrome Ncs Download Table

Details Of The 10 Patients With Numb Chin Syndrome Ncs Download Table

Numb Chin 9 Causes

Numb Chin 9 Causes

Numb Chin Syndrome A Signal Of Underlying Concern Journal Of Dental Hygiene

Numb Chin Syndrome A Signal Of Underlying Concern Journal Of Dental Hygiene

Numb Chin 9 Causes

Numb Chin 9 Causes

Doctors Warn That Numbness In The Jaw Can Be A Sign Of Cancer Youtube

Doctors Warn That Numbness In The Jaw Can Be A Sign Of Cancer Youtube

Numb Chin Syndrome A Case Series And Discussion British Dental Journal

Numb Chin Syndrome A Case Series And Discussion British Dental Journal

Numb Chin Syndrome With Sickle Cell Disease A Report Of Two Cases Medcrave Online

Numb Chin Syndrome With Sickle Cell Disease A Report Of Two Cases Medcrave Online

1

1

Numb Chin Numb Chin Syndrome Other Causes Warning Signs

Numb Chin Numb Chin Syndrome Other Causes Warning Signs

Pdf A Case Report Numb Chin Syndrome Due To Thalamic Infarction A Rare Case

Pdf A Case Report Numb Chin Syndrome Due To Thalamic Infarction A Rare Case

Dental Update Archive Article Numb Chin Syndrome A Metastatic Deposit In The Mandible

Dental Update Archive Article Numb Chin Syndrome A Metastatic Deposit In The Mandible

A Case Report Numb Chin Syndrome Due To Thalamic Infarction A Rare Case Bmc Neurology Full Text

A Case Report Numb Chin Syndrome Due To Thalamic Infarction A Rare Case Bmc Neurology Full Text

Pdf Numb Chin Syndrome Leading To A Diagnosis Of Salivary Ductal Adenocarcinoma A Case Report And Review Of The Literature

Pdf Numb Chin Syndrome Leading To A Diagnosis Of Salivary Ductal Adenocarcinoma A Case Report And Review Of The Literature

Oooojournal Net

Oooojournal Net

Mental Nerve Anatomy Function And Treatment

Mental Nerve Anatomy Function And Treatment

Numb Chin Syndrome A Case Series And Discussion British Dental Journal

Numb Chin Syndrome A Case Series And Discussion British Dental Journal

Numb Chin Syndrome A Signal Of Underlying Concern Journal Of Dental Hygiene

Numb Chin Syndrome A Signal Of Underlying Concern Journal Of Dental Hygiene

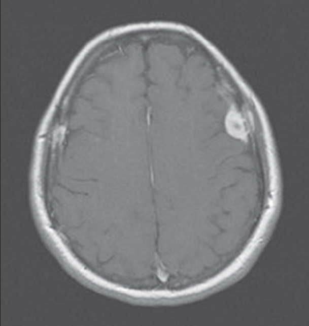
Teaching Neuroimages Numb Chin Syndrome In A Patient With Breast Cancer Neurology

Teaching Neuroimages Numb Chin Syndrome In A Patient With Breast Cancer Neurology

Top 13 Causes Of Lip Numbness Buoy

Top 13 Causes Of Lip Numbness Buoy

Exodontia Info

Exodontia Info

Pdf Numb Chin Syndrome

Pdf Numb Chin Syndrome

Numb Chin Numb Chin Syndrome Other Causes Warning Signs

Numb Chin Numb Chin Syndrome Other Causes Warning Signs

The Numb Chin Syndrome A Case Report Sciencedirect

The Numb Chin Syndrome A Case Report Sciencedirect

N Neurology Org

N Neurology Org

Does Numb Chin Syndrome Come And Go

Does Numb Chin Syndrome Come And Go

Numb Chin 9 Causes

Numb Chin 9 Causes

Cone Beam Computed Tomography In The Differential Diagnosis Of Mental Neuropathy Numb Chin Syndrome In Metastatic Colon Cancer Anticancer Research

Cone Beam Computed Tomography In The Differential Diagnosis Of Mental Neuropathy Numb Chin Syndrome In Metastatic Colon Cancer Anticancer Research

This Unusual Syndrome Of The Face Could Be An Early Sign Of Aml Medpage Today

This Unusual Syndrome Of The Face Could Be An Early Sign Of Aml Medpage Today

Frontiers Numb Chin Syndrome Leading To A Diagnosis Of Salivary Ductal Adenocarcinoma A Case Report And Review Of The Literature Neurology

Frontiers Numb Chin Syndrome Leading To A Diagnosis Of Salivary Ductal Adenocarcinoma A Case Report And Review Of The Literature Neurology

Numb Chin Syndrome As A Primary Presentation Of Metastatic Breast Cancer Sahni J Jones A Clark G Sedghizadeh P J Indian Acad Oral Med Radiol

Numb Chin Syndrome As A Primary Presentation Of Metastatic Breast Cancer Sahni J Jones A Clark G Sedghizadeh P J Indian Acad Oral Med Radiol

Details Of The 10 Patients With Numb Chin Syndrome Ncs Download Table

Details Of The 10 Patients With Numb Chin Syndrome Ncs Download Table

Never Ignore Numb Chin Syndrome The Spokesman Review

Never Ignore Numb Chin Syndrome The Spokesman Review

1

1

Nerve pain often affects all people differently.

I have recently developed a spot on my chin that it simple tell numb as if I am on novocaine and also feel a slight pressure around my jaw along the side of my face. I have recently developed a spot on my chin that it simple tell numb as if I am on novocaine and also feel a slight pressure around my jaw along the side of my face. Numb chin syndrome NCS is a neurological condition that causes numbness in the mental nerve distribution also known as mental neuropathy. You might have pain in one part of your leg and numbness in another part. So I have a small spot on the tip of my chin that is numb like feeling like how it would feel if a dentist gave you anesthesia. Then after taking it for maybe a month or so I decided to see what could be done about it. Numb chin syndrome NCS is a rare yet potentially ominous sensory neuropathy characterised by unilateral hypoesthesia or paraesthesia over the lower lip chin and occasionally gingival mucosa. Someone who receives a local anesthetic for dental work may feel a temporary tingling sensation in their chin or they may lose feeling in the chin completely. Numb chin syndrome NCS is a rare but important clinical symptom and sign.


If this happens it can cause itching pain numbness tingling or a feeling like there are ants crawling under the skin. Usually only one side of your body is affected. Jun 13 2021 84727 PM. This feeling can be transient and temporary meaning that it comes and goes or it can set in and stick around. In the evening I experienced a strange tingling and itching sensation It resembled that sensation when the numbness in your cheek is wearing off after the dentist. Numb Chin Syndrome NCS is characterised by hypoesthesia par aesthesia or pain over the chin in the region supplied by mental nerve and its branches 12. Or maybe its something simpler but just as serious like a problem with the brains ability to retain memories.

Post a Comment for "What Does Numb Chin Syndrome Feel Like"